В подмосковной Балашихе врачи вылечили мужчину с редким переломом

В подмосковной Балашихе врачи вылечили мужчину с редким переломом
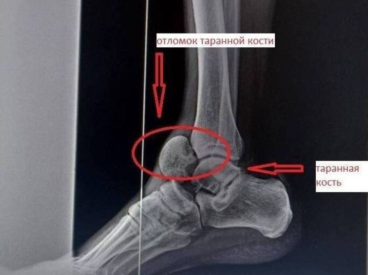
Фото: Министерство здравоохранения Московской области

В подмосковной Балашихе врачи вылечили мужчину с редким переломом. Об этом сообщает Министерство здравоохранения региона. Пациенту 37 лет. Известно, что он сильно ударился ногой во время падения со стремянки.

В результате обследования медики обнаружили травму таранной кости. Ее перелом считается редким. Лечение возможно было только с помощью операции. Костный отломок врачи вернули на место. Части кости зафиксировали винтами.

Операция прошла успешно. Мужчина уже выписан. Как говорят врачи, при такой травме главное – это обратиться за медицинской помощью в первые несколько часов. В противном случае можно получить осложнения и инвалидность.

Что еще почитать

В регионах

Новости региона

Все новости

Новости

Самое читаемое

...
Сегодня
...
...
...
...
Ощущается как ...

Автовзгляд

Womanhit

Охотники.ру